Scorri sotto per scoprire i nostri lavori...
Da anni ci prendiamo cura del tuo sorriso con attenzione e professionalità, in un ambiente accogliente e sereno.


+2000
+1000
Sorrisi soddisfatti
Pazienti
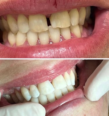
Alcuni dei nostri lavori
Questi che vedi sono solo una piccola parte dei nostri SORRISI












Contattaci subito
Siamo qui per rispondere a ogni tua domanda


